Let’s get one myth debunked before we get started: you are too old to have your wisdom teeth pulled.
With that being said, there is an ideal age and development of wisdom teeth in which to take them out. Ideally, the wisdom teeth are pulled when the individual is in their late teens or early 20’s. At this age, the patient’s wisdom teeth have developed enough that you can get ahold of them for removal. A big factor behind the decision of when to remove the wisdom teeth is the expected healing outcome. People further along in life tend to take a longer time to heal from the procedure than a teenager or young adult would.
Let’s assume that you didn’t get your wisdom teeth removed around this age. This doesn’t guarantee that there will be problems with the wisdom teeth at this age, but studies and clinical experience shows that they will more than likely give you problems at some point in your life.
So let’s hypothetically say you are a healthy 50 year old with all of your wisdom teeth. They don’t give you any problems currently and after examination show that they are being properly cleaned and cared for. Should you get them pulled then because they might cause problems at age 80? The answer is no. The general rule is that if the wisdom teeth are not causing problems by age 35, you can leave them alone.
Now let’s say you are healthy 50 year old with all of you wisdom teeth, but the teeth are getting cavities and there is gum disease all around the teeth. Should you get them out? That is a discussion that needs to be had between the patient and the dentist. Treatment options, such as filling the teeth instead of extracting them, need to be discussed. If you are getting cavities on your wisdom teeth now, you are likely to get them around the filling when you are in your 70’s. What if the gum disease turns into an abscess? Do you want to have it extracted at age 75?
Existing problems with wisdom teeth is the best indicator for future problems with the wisdom teeth. There are plenty of patients I see that have all of their wisdom teeth, but they 1) have room for them and 2) are doing a great job of caring for them.
Now here’s my very blunt and honest assessment of wisdom teeth based on my clinical experience: Many people don’t have room for them, and those who do have room for them are not caring for them well enough to keep them. This doesn’t mean that they are neglecting their teeth. Wisdom teeth are hard to reach to brush and floss, and it is hard to care for them. I judge a patient’s need for wisdom tooth removal on a case by case basis.
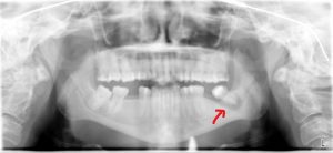
Let’s look at a couple of recent cases in the office of wisdom teeth causing problems in individuals beyond their early 20’s.

This patient made a very wise and great decision to have her wisdom teeth removed. A recent examination revealed tooth decay on the wisdom teeth. The patient also fractured one of her top wisdom teeth. This prompted the decision to have them removed. The procedure went smoothly and a full recovery is expected.

This patient had a cyst in the lower left wisdom tooth that had grown significantly. The cyst had grown to involve the nerve that runs right below it. The cyst could have progressed to injure the nerve leaving the patient with a permanent numb feeling on the cheek and teeth in that entire area of the mouth. The other wisdom teeth in the mouth had cavities and the decision was made to remove all four. The patient recovered fully from the procedure and full feeling in her mouth with no permanent damage.
Overall, it is always good to have your wisdom teeth evaluated at your check up appointments to ensure that nothing has changed. We offer consults for patients who would like to have their wisdom teeth evaluated. If you are considering wisdom teeth removal, give us a call to schedule your consult or fill out this form to request an appointment.
Logan Miller, DDS
North Austin Dentistry
[gravityform id=”1″ title=”true” description=”true”]